0
Passa al contenuto
Home
Chi siamo
Servizi
Odontoiatria
Logopedia
Medicina Estetica
Casi Clinici
Blog
Contatti
Apri menu
Chiudi menu
Home
Chi siamo
Servizi
Odontoiatria
Logopedia
Medicina Estetica
Casi Clinici
Blog
Contatti
Apri menu
Chiudi menu
Home
Chi siamo
Cartella:
Servizi
Indietro
Odontoiatria
Logopedia
Medicina Estetica
Casi Clinici
Blog
Contatti
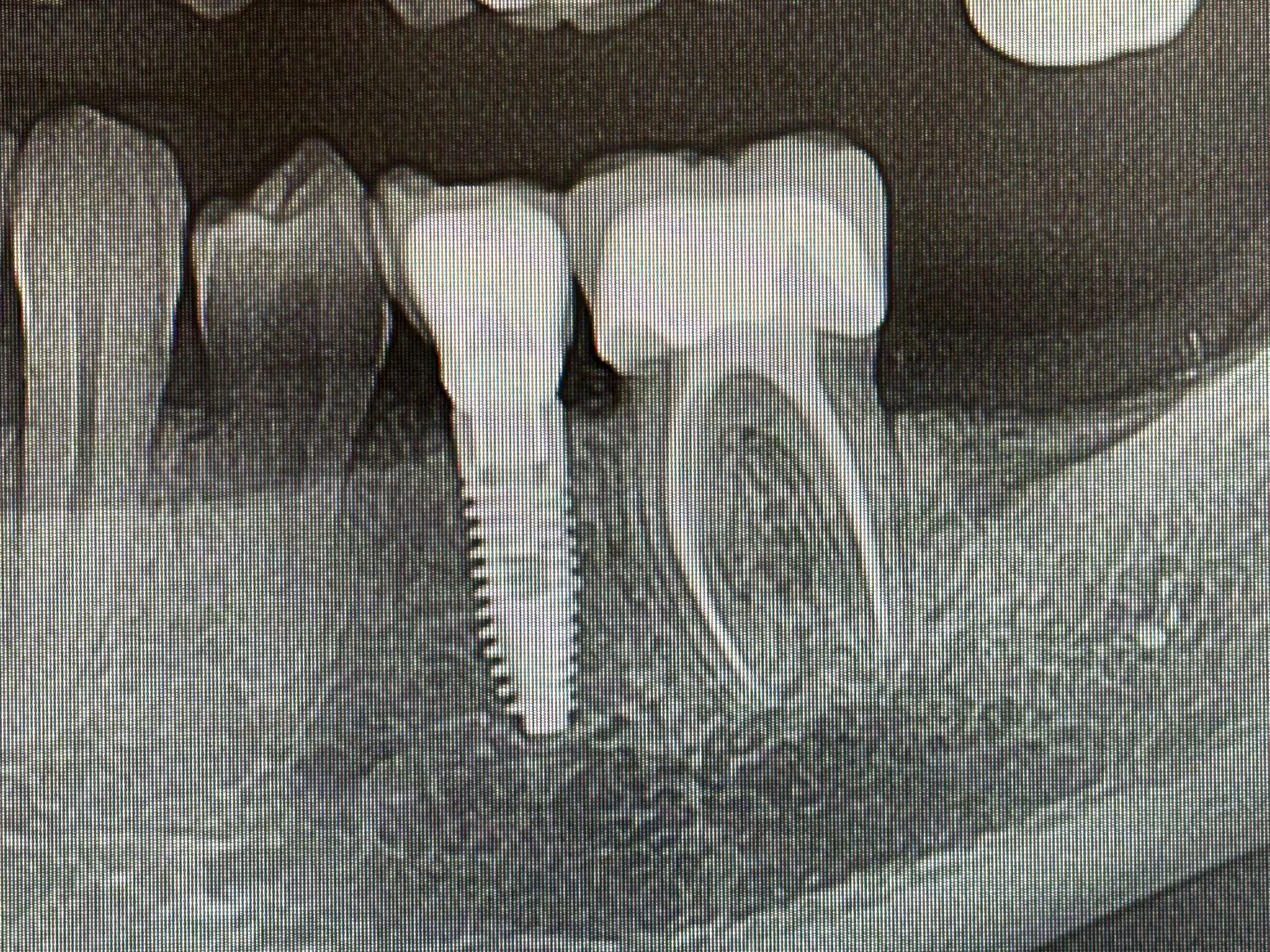
Casi Clinici
Endodonzia conservativa
Indietro
Indietro
Sbiancamento
Avanti
Avanti
Estrazione e Implantologia